end stage glioblastoma patient
It has lots of info about endstage gbm including some symptom timelines. Glioblastoma GBM is also referred to as a grade 4 astrocytoma.
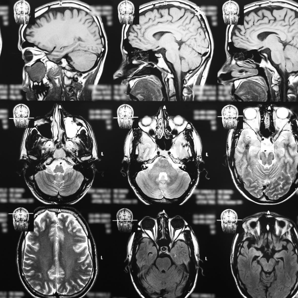
Diffusion Ring Enhancement Radiologia
Records were reviewed to describe adherence to palliative care quality measures.

. This consideration is to be taken into account when dealing with palliative care and the end-of-life EOL phase of HGG patients. Twenty-nine consecutive patients with glioblastoma who died in our department were included in this. Ad Learn How Our Team of Neurosurgeons and Oncologists Customize Your Treatment.
A 42-year-old woman with glioblastoma multiforme has been noted to have worsening dull headache which is worst in the morning with associated nausea and vomiting. Andrew Turrisi via Healthtap. A total of 57 patients who died due to glioblastoma in a hospital setting were included.
Primary GBM Tumors are most common in people age 55 and over and account for 90 of GBM Tumors. Glioblastoma multiforme is the most common type of cancerous tumor. Symptoms can vary widely from patient to patient but can include headaches or neck pain changes in vision nausea disorientation and difficulties speaking.
Perspectives Caregiver Patient Other. Oct 28 2021 216 PM. Today my friends daughter lost her battle with stage 4 glioblastoma less than one year after diagnosis and aggressive treatment and after only five days in hospice care.
The prognosis for glioblastoma is more positive for patients who are less than 40 years of age. Another way many resources measure life expectancy is as a percentage of people who live to an indicated. Despite aggressive treatment outcome of patients with glioblastoma is poor.
In the final stages of glioblastoma patients often are not able to perform daily tasks such as getting out of bed and walking according to Dr. Some symptoms of glioblastoma can be similar to a stroke so its important to get a full workup from their doctor to get an accurate diagnosis. The most frequent signs and symptoms in the last 10 days before death were decrease in level of consciousness 95 fever 88 dysphagia 65 seizures 65 and headache 33.
Glioblastoma brain tumors are most common in adults ages 45-65 and affect more men than women. However bodily pain was asked for and appeared to occur less frequently in glioma patients 25 when compared with patients with systemic cancer where prevalence. Grade 4 astrocytoma or.
Ad Find Glioblastoma Final Stages. My 77 year old Mom has been in a coma from GBM end stage progression since last Friday October 22nd. I was told that today was horrible with her daughter not conscious yet struggling fiercely to breathe.
We aimed to a assess the proportion of HGG patients dying with dignity as perceived by their relatives and b identify disease and care. Thus it is critical to seek specialist neuro-oncological and neurosurgical care quickly since this can. GBM is a lethal brain cancer that if left untreated can end in death within six months or less.
Tumor Type Other Wild type EGFR Amplified MGMT. Final stages of glioblastoma multiforme both parents cancer. I lost my father to cancer on 3rd June he had a glioblastoma multiforme stage IV not a lot is.
Each story helps renew our resolve to conquer Glioblastoma. Age 65 15-39 40-64. End stage glioblastoma.
Headache nausea vomiting focal neurological. Glioblas-tomas originate from normal brain tissue. Median survival time is usually measured in months for glioblastoma.
My dad is a 53 year old diagnosed with Glioblastoma in May 2017. Palliative and end-of-life care in glioblastoma. 3 Aug 2016 1132.
End of life with Glioblastoma stage 4. 4 Aug 2018 1729. Glioblastoma multiforme GBM still harbors a fatal prognosis.
In the end-of-life EOL phase high-grade glioma HGG patients have a high symptom burden and often lose independence because of physical and cognitive dysfunction. I refer to those timelines often but they have not been very accurate for my brother. The involvement of the neurocognition and psyche poses unique challenges for care provision by relatives.
There are two types of GBM tumors Primary and Secondary. He received radiotherapy and then chemotherapy. The purpose of this study was to evaluate the end-of-life phase in a hospital setting in patients with glioblastoma.
Palliative Care Network of Wisconsin. This might affect the patients personal dignity. This is a retrospective analysis of 117 deceased glioblastoma patients over 5 years.
Several distinct clinical problems arise in the terminal stage of this disease. The Last Days of End Stage GBM. Glioblastoma or GBM is a fast-growing brain tumor that develops from glial cells in the brain.
Concerning medication 95 received opioids. A patient may also lose bladder and bowel control. Defining and measuring opportunities to improve care Neurooncol Pract.
Glioblastoma What Can We Do For These Patients Today And What Will We Be Able To Do In The Future Sciencedirect
Improving Control Of High Grade Glioma By Ultra Hyper Fractionated Radiotherapy Frosina 2022 Journal Of Neuroscience Research Wiley Online Library
Frontiers High Grade Glioma Treatment Response Monitoring Biomarkers A Position Statement On The Evidence Supporting The Use Of Advanced Mri Techniques In The Clinic And The Latest Bench To Bedside Developments Part 1 Perfusion
Early Findings Show New Drug Could Be Gamechanging For Brain Cancer Treatment Cancer Research The Guardian
Brain Tumor Types Johns Hopkins Medicine
Frontiers A Review Of Newly Diagnosed Glioblastoma Oncology
The Innovative Therapies That Could Break The Brain Cancer Stalemate
Pinterest Alexislbenoy In 2021 Animal Lover Aesthetic Dog So Cute Dog Selfie
Frontiers High Grade Glioma Treatment Response Monitoring Biomarkers A Position Statement On The Evidence Supporting The Use Of Advanced Mri Techniques In The Clinic And The Latest Bench To Bedside Developments Part 1 Perfusion
Dabrafenib In Patients With Recurrent Braf V600e Mutated Malignant Glioma And Leptomeningeal Disease
Glioblastoma Photos Capture Couple S Brain Cancer Journey
Cancers Special Issue Perioperative Imaging And Mapping Methods In Glioma Patients
Glioblastoma Pitfalls And Opportunities Of Immunotherapeutic Combinat Ott
Early Findings Show New Drug Could Be Gamechanging For Brain Cancer Treatment Cancer Research The Guardian
Stratified Phase Ii Trial Of Cetuximab In Patients With Recurrent High Grade Glioma Annals Of Oncology
Frontiers High Grade Glioma Treatment Response Monitoring Biomarkers A Position Statement On The Evidence Supporting The Use Of Advanced Mri Techniques In The Clinic And The Latest Bench To Bedside Developments Part 1 Perfusion